| Sleep Studies
Description:
Method to assess sleep disorders
Machine Embletta and Devilbliss
RPM auto adjust CPAP
Preparation: None,
but the procedure is done at night
Sleep apnea is a condition where
the individual who snores literally stops breathing
during sleep.I f left untreated, sleep apnea can be
potentially life threatening over time.
Obstructive
sleep apnea is caused by a blockage in the airways.
This is caused by the tissue at the back of the throat
relaxing and collapsing during sleep. The brain will
wake the sleeping person up to remind them to breathe
and thus ensure that the body receives enough oxygen
to survive. As a consequence of this, people with
sleep apnea end up having unsatisfying and broken
sleep.
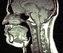
Airway
Closure During Sleep - Apneic
Apneic
Patient (Mid- Sagittal Section)
Normal
Subject (Mid - Segmental Section)
Soft
Tissue Comparison of an Apneic and a Normal
The hallmark symptom of
sleep apnea is excessive daytime sleepiness. Other
sleep apnea symptoms include:
- Restless sleep
- Loud snoring (with periods of silence followed
by gasps suggests obstructive sleep apnea)
- Falling asleep during the day
- A morning headache classically follows sleep apnea
- Trouble concentrating due to the lack of sleep
- Irritability, forgetfulness, mood and personality
changes.
- Consequences Of Sleep Apnea:
Consequences
Of Sleep Apnea:
Sleep apnea patients are at risk
for developing Hypertension, Heart attacks, Strokes,
Cardiac Failure, erratic heart rhythms and SUDDEN
DEATH at night during Sleep.
Who Should Get A Sleep
Study Done?
- Any young Hypertensive (as sleep apnea could be
the cause of high blood pressure.)
- Obese patients who snore and have gaps in their
breathing or choking sounds are heard by the partner.
- Snorers who are excessively sleepy in the day
time.
- An obese Hypertensive whose blood pressure is
not coming under control.
Procedure
Any patient who falls in these categories
will be evaluated clinically by the Sleep specialist
and the ENT Surgeon.
The sleep technician then visits
the patient at night in the comfort of the patients
home or hotel room and connects the machine which
will record the data from the patient through the
night.
The recorder is then collected in
the morning and the data is analysed.
If
the test is positive for Obstructive Sleep apnea then
the patient is given a machine to use the next night
called the Automatic CPAP in which a face mask is
attached to a tube and a machine that blows pressurized
air into the mask and through the airway to keep it
open.
There are also surgical procedures
that can be used to remove tissue and widen the airway
to relieve sleep apnea.
It is important to note that a CPAP
machine does not do any actual breathing for the patient
- so there is no risk from becoming dependent or losing
the ability to breathe naturally. The stream of air
works to maintain an airway so that when you do inhale
naturally, there is no obstruction or neurological
problem that prevents the air from traveling properly
to the lungs
. |