amazon health and medical tourism
medical tourism india
Individual Diagnostic Test
Digital X-rays
Full Length X-ray
2D Echo
Bone Densitometry
Color Doppler
Computerized Pathology
CT Scan Or CAT Scan
Cardiac CT
ECG
Mammography
MRI
Radiofrequency Ablation
Sonography Or Ultrasound
Stress Test
Sleep Studies
X-rays Diagnostics Radiology
Other Radiology Procedures
OPG
Pain Management
Eye Check-up
Dental Check-up
Audiometry
Pulmonary Function Test
Gynecological Examination
Nutrition & Diet

Pain Management

Description

Procedures to alleviate pain - e.g. nerve blocks, intra-articular injections, etc

Machine

Using imaging guidance, such as fluoroscopy, USG or CT, we can now guide therapy, mainly in the area of relieving pain.

Preparation/Instructions

Pre-procedure workup

Procedure

There are many procedures that can be performed, some of which include; suprascapular blocks for frozen shoulders, lumbar Sympathectomies for unremitting pain from peripheral vascular disease, disco grams for evaluating discal pain, facet and SI joint blocks and vertebroplasties, etc.

Basically any procedure that alleviates pain, but needs necessary guidance with an imaging technique can be performed.

Suprascapular Nerve Blocks

Frozen shoulder or peri-arthritis is a condition that results in significant disability, wherein the patients are unable to move their arms at the shoulder and have pain and discomfort.

It is usually a self-limited procedure and takes approx. 9 months for recovery. Apart from anti-inflammatory medication, graded physiotherapy and on occasion, intra-articular steroid injections and arthroscopic adhesiolysis are used to treat more difficult cases.

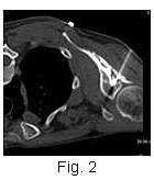
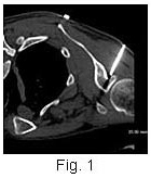
The suprascapular nerve in the suprascapular notch has approximately 70% of the sensory supply from the capsule. By blocking this nerve, it is possible to reduce the pain significantly and allow movement of the shoulder. This in turn, facilitates physiotherapy and helps faster recovery.

 

 

This procedure is performed under CT guidance in the prone position. Once the needle is in place, a steroid and anesthetic mixture is injected (Figs. 1, 2). Usual improvement is within 24 hours and can last from 3-6 months. Repeated injections are possible, but the most important role seems to be the ability to allow aggressive physiotherapy to be conducted.

 

 

 

 

Lumbar Sympathectomies

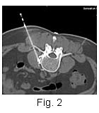
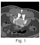
These are most commonly performed to alleviate pain in patients with severe peripheral vascular disease. By ablating the lumbar sympathetic plexus, the blood flow to the limbs is increased and this helps in relieving pain.

The effect lasts for 1 week to 2 years, but the period is unpredictable from patient to patient.




The procedure is performed under CT guidance and two needles are simultaneously placed on either side of the upper margin of the L3 vertebral body (Figs. 1, 2). For temporary relief, bupivicaine is injected, but for permanent ablation, absolute alcohol is used.

Dental Care
Cosmetic Surgeries
Health Check up Plan

  Contact

Our Affiliation